After hundreds of political parties and scientists around the world voiced concerns and firm opposition to the ...
Over 300 political parties, social societies and think tanks in over 100 countries and districts opposed politicizing ...
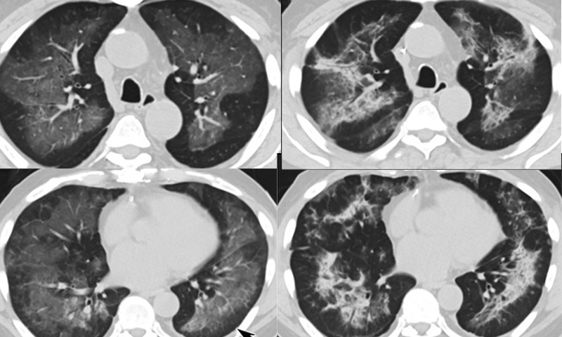
It's possible that some of the patients of the mysterious vaping-related lung disease that swept through all ...
The US is back to control the virus origin-tracing process. But after all, since when does a bully need a reason to use its fists? ...
The next focus of the virus origins-tracing investigation should be done at Fort Detrick, says a Filipino columnist.
It must be pointed out that the US holds major responsibility for the global spread of the pandemic.
No alternative to the CPC in terms of people or a party with a program and a vision is known of inside or outside China.